quinta-feira, 24 de março de 2016

Dentistica

Odontologia que tem por finalidade preservar e/ou devolver ao elemento dental sua integridade morfológica, funcional e estética, que podem ser alteradas pelas mais diversas causas, entre elas, a lesão cariosa 

Atualmente, a Dentística pode ser dividida em: Preventiva, Restauradora e Estética. A Dentística Preventiva está diretamente relacionada com a prevenção dos elementos dentais frente aos desafios cariogênicos, adotando, para tanto, o ensino de procedimentos adequados para a higiene bucal, a não ingestão frequente de alimentos cariogênicos, o emprego de selantes nas fóssulas e fissuras, a adoção de adequadas fluorterapias tópicas e/ou sistêmicas, além de visitas periódicas ao cirurgião dentista.

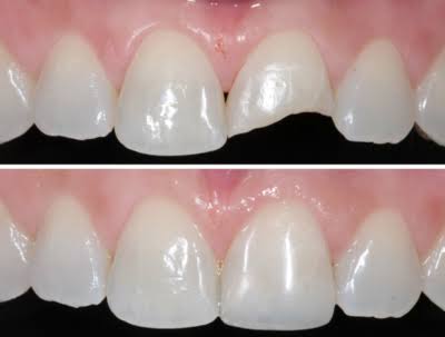
Por outro lado, a Dentística Restauradora, além de remover a lesão de cárie, recupera a forma, a função e a aparência dos elementos dentais que foram por ela acometidos dos, assim como dos que sofreram traumatismos coronários seguidos de fratura dental, realizando, para tanto, restaurações e/ou reconstruções coronárias.

https://youtu.be/YLySh1vqpWg

Nenhum comentário:

Postar um comentário